
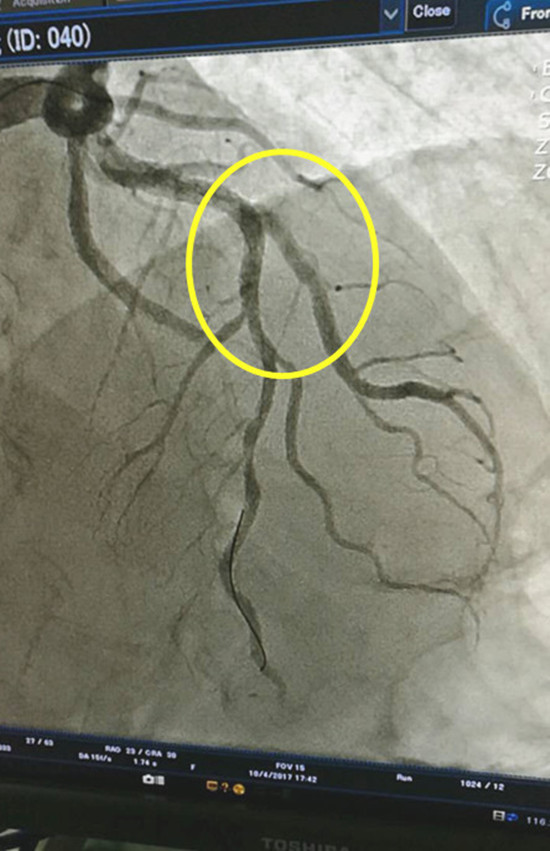
图1 造影显示患者血管狭窄处

图2 介入治疗后患者血管恢复畅通
红网时刻10月6日讯 (通讯员 聂燕)10月4日是传统的中秋节,在这团圆的节日里,71岁的李大爷却突发心肌梗死,慈利县中医医院介入治疗中心顺利对其进行急诊冠脉介入治疗。
李大爷患有2年的高血压,长期吸烟,当天上午9时左右,因胸痛加重30分钟前往慈利县中医医院就诊,检查诊断为急性广泛前壁心肌梗死。如果不立即进行治疗的话,随时有死亡的风险。
对于急性心梗患者来说,时间就是心肌,时间就是生命!经该院介入团队紧密协作,为李大爷实施了急诊冠脉造影术及冠脉支架植入术。造影检查显示,患者的前降支近中段严重狭窄达95%伴钙化及血栓。医院介入团队随即为他进行介入治疗,在血管狭窄处植入一个支架,将血管开通。患者胸痛立即得到了缓解,成功挽救了患者的生命。
“手术很成功,这下可以安心的过节了!”手术后,该院介入中心的童医生对等候的家属说。
据了解,介入手术是目前治疗急性心肌梗死最有效的手段,可大大降低患者死亡的风险。这是慈利县首例急性心肌梗死的急诊冠脉介入治疗,填补了本县急性心肌梗死治疗中的空白。
来源:红网慈利分站
作者:聂燕
编辑:redcloud
本文为慈利新闻网原创文章,转载请附上原文出处链接和本声明。